Лікуємо так, щоб більше не переліковувати.
Виявляємо та розв’язуємо проблеми із зубами на будь-якому етапі.

Запишіться на консультацію та отримайте персональний план лікування.
Лікуємо так, щоб більше не переліковувати.
Виявляємо та розв’язуємо проблеми із зубами на будь-якому етапі.

Запишіться на консультацію та отримайте персональний план лікування.
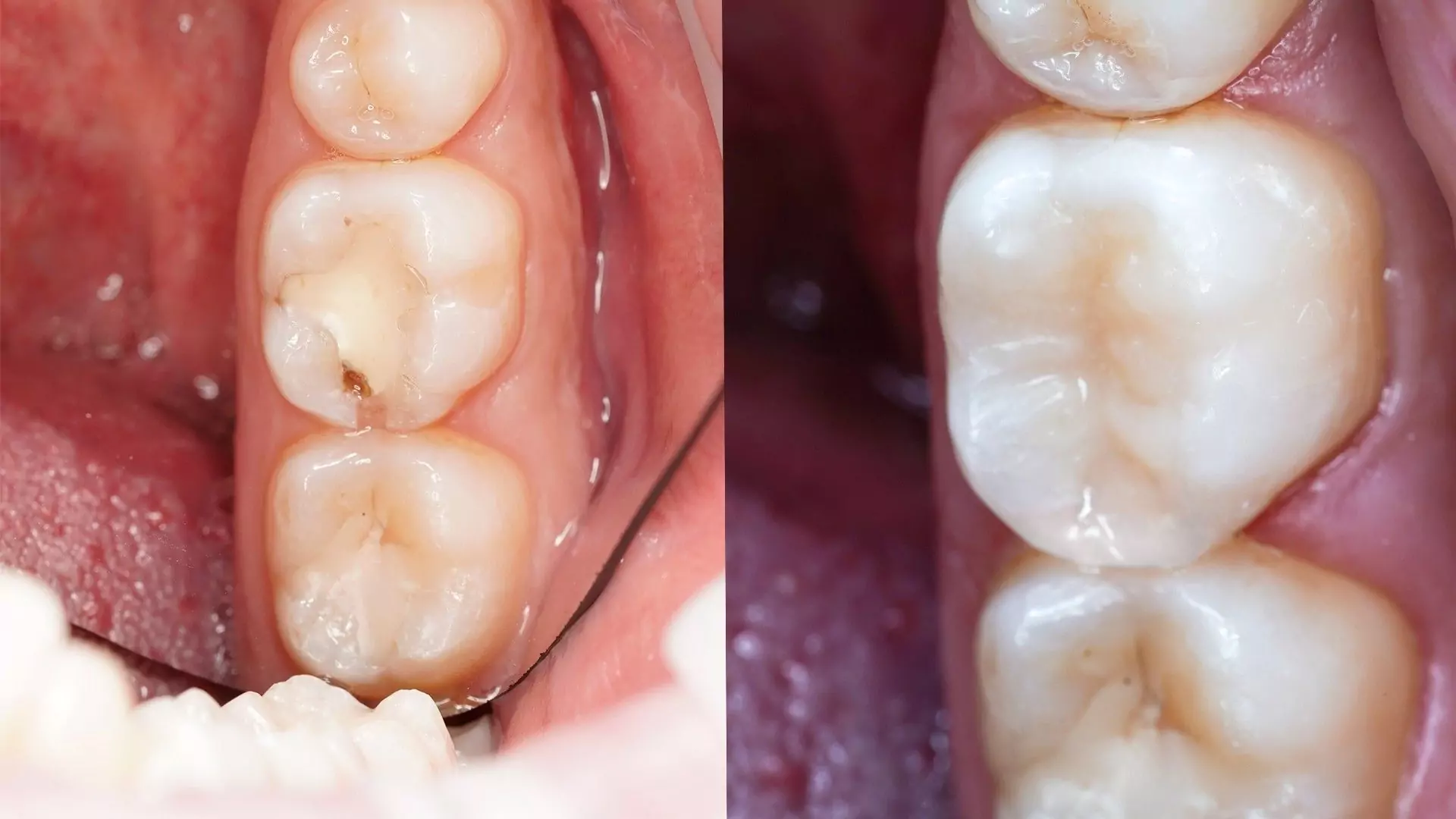
Відмінний результат лікування зубів у клініці "Доброзуб"



Чому варто лікувати зуби у нашій клініці?

Залежно від етапів ураження ми лікуємо зуби при таких захворюваннях:
КАРІЄС
Починається із незначного ураження емалі, проте невеличка пляма із часом може прогресувати в темну цятку. Його можна зупинити на стадії плями та вилікувати, допоки воно не встигло зруйнувати велику кількість тканин.
ПУЛЬПІТ
Нелікований карієс може дійти до нерва/кореневого каналу зуба та спричинити запалення пульпи — м’якої тканини, яка заповнює порожнину зуба та складається з нервів і судин. Саме цей етап частіше за усе пов’язаний із нестерпним болем, який відчувають пацієнти.
ПЕРІОДОНТИТ
У випадку неякісного лікування або його відсутності запалення пульпи виходить за межі кореневого каналу та починає руйнувати кісткову тканину.
Технології, які допомагають нам лікувати Ваші зуби
Дентальный мікроскоп

Мультисистема Endopilot2

За допомогою нашого обладнання ми можемо:
- Безпечно для пацієнта провести лікування.
- Контролювати точну обробку каналів, нейтралізувати уражені тканини та дістати зламаний інструмент.
- Знайти та видалити залишки раніше застосовуваного матеріалу для пломбування..
- Візуалізувати кожен поворот і вихід каналу для точної герметизації, адже структура кореневого каналу зуба — це мережа пустот та відгалужень, які не є ідеально рівними.
- Збільшувати зображення в 40 разів та побачити кожну деталь, відгалуження чи тріщину в кореневому каналі.
- Закривати перфорації — отвори, які сформувалися при обробці каналу.
- Мінімізувати травматизації.
- За необхідності розширити або знайти невидимі, на перший погляд, мікроканали.
Вартість лікування
Контакти
Київ, вул. Жилянська, 75
Пн-Сб — 09:00-21:00
- Бізнес-центр «Євразія», вхід з фасаду.
- 12 хвилин від метро «Вокзальна».
- 12 хвилин від метро «Університет».
- Біля нас є зручні паркомісця та гарна транспортна розвʼязка.



